■診療案内



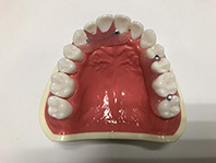
審美歯科(バネがない義歯)

ノンクラスプデンチャー

金属のバネを使わない、薄くて軽い装着感の義歯です。
義歯床に柔軟性のある特殊な材料を使うことで、優しい着け心地の義歯を作ることができました。 薄くて適合性が良いため粘膜と義歯の段差が少なく、食物もつまりにくい仕上がりです。 また、金属クラスプ(バネ)を使わないので審美性に優れ、義歯を装着しているこにも気づかれません。

●義歯の金属のバネが気になる
●義歯の異物感が気になる
●欠損部(歯が無い部分)の修復のために隣の歯を削りたくない
●インプラントは避けたい

などの症例におすすめです。(自費診療になります)


(保険の義歯) (ノンクラスプデンチャー)



Copyright © 谷口歯科医院. All Rights Reserved.